Rockland Orthodontics

Early Treatment

Healthy Bites Begin Early

The earlier we catch problems with your child’s bite, the simpler they are to fix. The results are often better than if we wait and require less work. We may not need to keep braces on your child for as long when they are younger, which means less expense for you. The American Association of Orthodontics (AAO) recommends that children visit an orthodontist as soon as their dentist notices that there might be a problem or before they are seven years old. We may not have to do anything at this age, other than monitor the child’s mouth. However, if we continue to watch your child, we can start treatment right away!

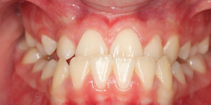
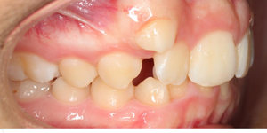
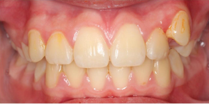
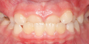
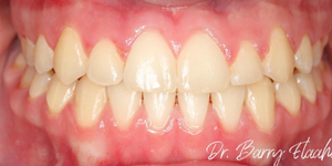
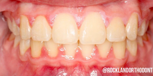
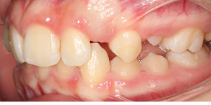
REAL RESULTS FROM HAPPY PATIENTS

Follow Us On Social Media

Skip to content